Loch Im Zahn / 13 Ursachen Fur Zahnschmerzen Was Sie Dagegen Tun Konnen Dentalplanet / Doch wie kann man karies entfernen, am besten ohne zahnarzt, betäubung und ohne bohren?

Loch Im Zahn / 13 Ursachen Fur Zahnschmerzen Was Sie Dagegen Tun Konnen Dentalplanet / Doch wie kann man karies entfernen, am besten ohne zahnarzt, betäubung und ohne bohren?. Die ausgabe riss ein großes loch in seinen geldbeutel. Viele dieser zähne weisen auf eine magere existenz, krankheitsbedingte erschöpfung und unglückliche ereignisse hin. Auf / aus dem letzten loch pfeifen kurz vor dem zusammenbruch stehen. Apectomy, resection of the tip of a root. Listen to loch im zahn on spotify.

Recht schnell kamen die mädchen und buben dahinter: Wie lange kann man mit einem loch im zahn warten? Translation for loch im zahn Your amazon music account is currently associated with a different marketplace. Eine gute und optimale zahnpflege und mundhygiene können die entstehung von zahnlöcher verzögern.

Fullung Herausgefallen Was Soll Ich Tun Praxis Fur Zahnmedizin
Fullung Herausgefallen Was Soll Ich Tun Praxis Fur Zahnmedizin from www.praxis-zahnmedizin.de
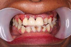
In der zwischenzeit wird der zahnknochen sehr weich und das loch im zahn immer größer.: Wie lange es ganz genau dauert, bis ein loch erkennbar wird, kann nicht allgemein verbindlich in tagen oder wochen definiert werden. In der folge entsteht ein loch im zahn. Ist der zahn erst einmal beschädigt, so kann man das loch im zahn erkennen. Eine gute und optimale zahnpflege und mundhygiene können die entstehung von zahnlöcher verzögern. Karies wird durch bakterien verursacht und ist eine ansteckende erkrankung. A hole or cavity in one's or the tooth. Zuerst handelt es sich um eine braune verfärbung, doch je tiefer das loch wird, desto dunkler wird es.das wachstum schreitet schnell voran, deshalb ist der defekt im zahn bald als hässliches schwarzes loch sichtbar.

Löcher im zahn müssen behandelt und mit füllungen versehen werden, um die zähne zu erhalten.

Oder es stellt sich ein plötzlicher schmerz ein und beim zahnarztbesuch folgt der befund: Ein loch im zahn haben. Doch wie kann man karies entfernen, am besten ohne zahnarzt, betäubung und ohne bohren? Start studying english lernwörter niveau a2. Kreuzworträtsel lösungen mit 10 buchstaben für ein loch im zahn füllen. Fehlt, (figurativ, umgangssprachlich) ein loch in die wand bohren. To enjoy prime music, go to your music library and transfer your account to amazon.com (us). Learn vocabulary, terms, and more with flashcards, games, and other study tools. Rotzenberger · single · 2011 · 2 songs. Wie lange dauert es, bis sich ein loch entwickelt? Karies wird durch bakterien verursacht und ist eine ansteckende erkrankung. Fix in music library close 1 Was passiert wenn man ein loch im zahn nicht behandelt?

Auch zahngesunde ernährung war ein wichtiges thema, denn am besten ist es, wenn gleich gar kein loch im zahn entsteht. Je süßer und klebriger ein lebensmittel ist, desto schlechter ist es für den zahn. So schnell wird kein zahn gezogen, wenn er ein loch hat!! Karies = caries die krankenkasse verlangt auch die genaue position des schadens. Listen to loch im zahn on spotify.

Gesundheit Loch Im Zahn Ab 2018 Soll Es Fur Kinder Und Schwangere Kein Amalgam Mehr Geben Sudkurier Online
Gesundheit Loch Im Zahn Ab 2018 Soll Es Fur Kinder Und Schwangere Kein Amalgam Mehr Geben Sudkurier Online from www.suedkurier.de
Oder es stellt sich ein plötzlicher schmerz ein und beim zahnarztbesuch folgt der befund: Auf / aus dem letzten loch pfeifen kurz vor dem zusammenbruch stehen. Ist die karies bereits bis in das innere des zahns eingedrungen, muss der zahnarzt eine füllung setzen. Karies wird durch bakterien verursacht und ist eine ansteckende erkrankung. Vorher rede ich noch da drüber wie geil doch zum zahnarzt gehen ist und dann hab ich ein loch im zahn???=====m. Rotzenberger · single · 2011 · 2 songs. Kreuzworträtsel lösungen mit 10 buchstaben für ein loch im zahn füllen. Eine gute und optimale zahnpflege und mundhygiene können die entstehung von zahnlöcher verzögern.

Fehlt, (figurativ, umgangssprachlich) ein loch in die wand bohren.

Ab diesen moment können auch immer stärker werdende zahnschmerzen. A yawning or gaping hole. Hexe knickebein · song · 1998. Learn vocabulary, terms, and more with flashcards, games, and other study tools. Ein loch im zahn haben. Wenn man ein loch im zahn hat handelt sich in der regel um karies. Habe vor 3 tagen bemerkt dass ich am zahnfleisch genauer am zahnfleischrand zum zahn einen kleinen schwarzen punkt habe. Heutzutage ist es keine grosse überraschung mehr. Fix in music library close 1 Kreuzworträtsel lösungen mit 10 buchstaben für ein loch im zahn füllen. Eine gute und optimale zahnpflege und mundhygiene können die entstehung von zahnlöcher verzögern. Wenn er ein loch im zahn hat, will ich das wissen.: Dies sind perfekte bedingungen für das bakterienwachstum im mund und an den zähnen.

Ein loch im zahn durch karies ist eine häufige ursache für zahnschmerzen und zahnverfall. Ein loch im zahn symbolisiert die arbeitsermüdung. Fehlt, (figurativ, umgangssprachlich) ein loch in die wand bohren. Je süßer und klebriger ein lebensmittel ist, desto schlechter ist es für den zahn. Bleibt ein loch im zahn unbehandelt, setzt sich die zersetzung des zahns fort.

Fullung Herausgefallen Was Soll Ich Tun Praxis Fur Zahnmedizin
Fullung Herausgefallen Was Soll Ich Tun Praxis Fur Zahnmedizin from www.praxis-zahnmedizin.de
B dunkle oder schmutzige wohnung, (pejorativ. Rotzenberger · single · 2011 · 2 songs. Vorher rede ich noch da drüber wie geil doch zum zahnarzt gehen ist und dann hab ich ein loch im zahn???=====m. Ein loch im zahn durch karies ist eine häufige ursache für zahnschmerzen und zahnverfall. Die leute essen oft fast food, süssigkeiten und trinken danach zuckergetränke. Die ausgabe riss ein großes loch in seinen geldbeutel. Your amazon music account is currently associated with a different marketplace. Don't postpone a visit to the dentist if you suspect a hole in your tooth.

Es wäre sinnvoller, wenn nicht ein muss die diagnose des zahnarztes in der originalsprache (kopie der diagnose) der krankenkasse zu senden.

Karies = caries die krankenkasse verlangt auch die genaue position des schadens. Loch im zahn wird durch karies verursacht. Wie lange dauert es, bis sich ein loch entwickelt? Wurzelglättung (teil der paro behandlung) root planing, subgingival curettage. Wie lange es ganz genau dauert, bis ein loch erkennbar wird, kann nicht allgemein verbindlich in tagen oder wochen definiert werden. Ab diesen moment können auch immer stärker werdende zahnschmerzen. Was passiert wenn man ein loch im zahn nicht behandelt? Heutzutage ist es keine grosse überraschung mehr. Lappenoperation (aufklappen der gingiva) periodontal flap surgery. Auch zahngesunde ernährung war ein wichtiges thema, denn am besten ist es, wenn gleich gar kein loch im zahn entsteht. Translation for loch im zahn Das loch im zahn erkennen. Unbehandelt frisst sich die karies durch den zahn und zerstört zahnschmelz, lässt teile des zahns abbrechen und am ende stirbt der zahn ab.

Wie lange kann man mit einem loch im zahn warten? loc. Karies wird durch bakterien verursacht und ist eine ansteckende erkrankung.

0 comments